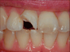
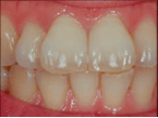
"Wear a smile – one size fits all" pure aesthetic
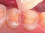
Achieve PURE aesthetic results with Ceramage a zirconium silicate integrated indirect restorative for both anterior and posterior regions.
CERAMAGE provides an extraordinary combination of durability and strength. Harder than other light- cured materials, it is extremely resilient and more elastic than conventional ceramics.
CERAMAGE is an excellent solution for durable posterior restorations



